Oral Surgeon - Folsom, CA

Open Bite And Cross Bite

2370 E. Bidwell, Suite 130
Folsom, CA 95630
Office Hours
Monday:
-
Tuesday:
-
Wednesday:
-
Thursday:
-
Friday:
-

Open Bite and Cross Bite

These are two common problems in children that have their origin in discrepancies between the size of the jaws (top and bottom), or discrepancies between the size of the teeth and the amount of space available.

  • A posterior cross bite can appear at an early age, and depending on its cause (malpositioned teeth or misaligned jaws) treatment may be warranted early. It can involve one or both sides of the molar area and in some cases in can cause a "shift" of the bite. Many appliances are available for treating this condition and your dentist will discuss in detail the risks and benefits of treating a posterior cross bite.
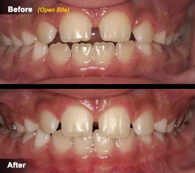
  • Anterior open bites refer to a condition in which the top and bottom front teeth are not in contact (they do not touch each other when the patient bites). The origins of open bites can be traced to habits that patients have or had in the past, and occasionally to discrepancies between the sizes of the jaws. Since most open bites in children are associated to an existing habit, treatment usually addresses the habit itself and is most effective when done at an early age. Many appliances are available for treating this condition and your dentist will discuss in detail the risks and benefits of treating an open bite in children.
Open Bite and Cross Bite

Accepting New Patients

Ready to take the next step towards optimal oral health? Request an appointment with Folsom Oral Surgery And Implant Center and embark on a journey with a team committed to excellence in care and comfort.

Appointment